G-Wurf 02.04.2025
UNO (Galio): Lebt im schönen Sauerland

BALOU (GANDALF) : Wohnt in Remscheid

GAYA: Heimat in Wagenfeld (Niedersachsen)

BIENE (GINNY): Spaziert in Bornheim

GLENN (FANNY): Bei der Arbeit in Goch

GRACY: Modelt in Bad Neuenahr

JOSCHI (GREY): Lebt im fernen Hamburg

GANDALF (GROOT): Dortmunder Junge

Am 02.04. sind unsere 8 Welpen geboren
und wir freuen uns, dass es mehr gesunde
Welpen sind als erwartet
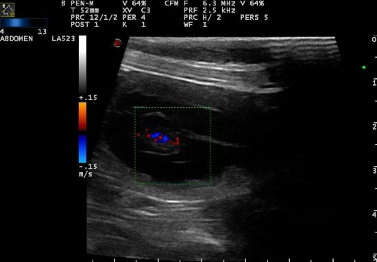
Hier eins der Ultraschallbilder, die den Herzschlag der Welpen zeigen:

Die Verpaarung von Ahri und Abumba von den Kleyer Feldpfoten hat geklappt. Jetzt heißt es Daumendrücken !


